485874319561

485874319561
Clone number:
Isotype:
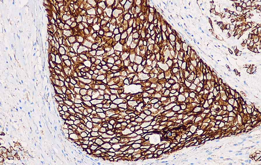
Cellular localization: cytoplasm/membrane
Adaptive tissue: paraffin/frozen
Positive control: Breast cancer
Antibody incubation time: 30-60min
Antigen repair: Heat repair (EDTA)
The catenin family includes α-catenin, β-catenin, γ-catenin and p120. Besides mediating intercellular adhesion behavior together with E-cadherin, they also play a role in signal transduction within the nucleus. p120 is a newly discovered member of this family. It was initially found as a substrate for Src oncoproteins and is linked to E-cadherin in the cytoplasm, but not to actin and α-catenin. Its molecular weight is 120kDa, and the gene is located at 11q11. It is abnormally expressed in breast cancer tissues and is related to the expression of E-cadherin. It may play an important role in the occurrence and development of breast cancer and is more closely related to the occurrence and development of invasive lobular carcinoma.
The p120 antibody reagent can specifically bind to the p120 molecular antigen. The immunohistochemical kit containing the p120 antibody reagent is suitable for the precise diagnosis of breast cancer.