333655209385

333655209385
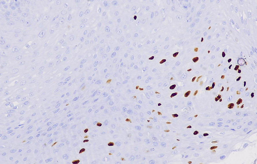
Clone number: K1H8
Isotype: mouse monoclonal antibody IgG1
Cellular localization: nucleus
Tissue: paraffin/frozen
Positive control: HPV infected tissue
Antibody incubation time: 30-60min
Antigen repair: Thermal repair
This antibody is a broad-spectrum HPV virus marker that can recognize HPV subtype antigens of 6, 11, 16, 18, 31, 33, 42, 51, 56 and 58 in human tissues. It is mainly used for the research of skin or mucosal lesions caused by HPV virus infection (such as condyloma acuminatum).
The Papilloma Virus antibody reagent can specifically bind to the Papilloma Virus molecular antigen. The immunohistochemical kit containing the Papilloma Virus antibody reagent is suitable for the auxiliary diagnosis of skin or mucosal lesions caused by HPV virus infection.