7791482473902

7791482473902
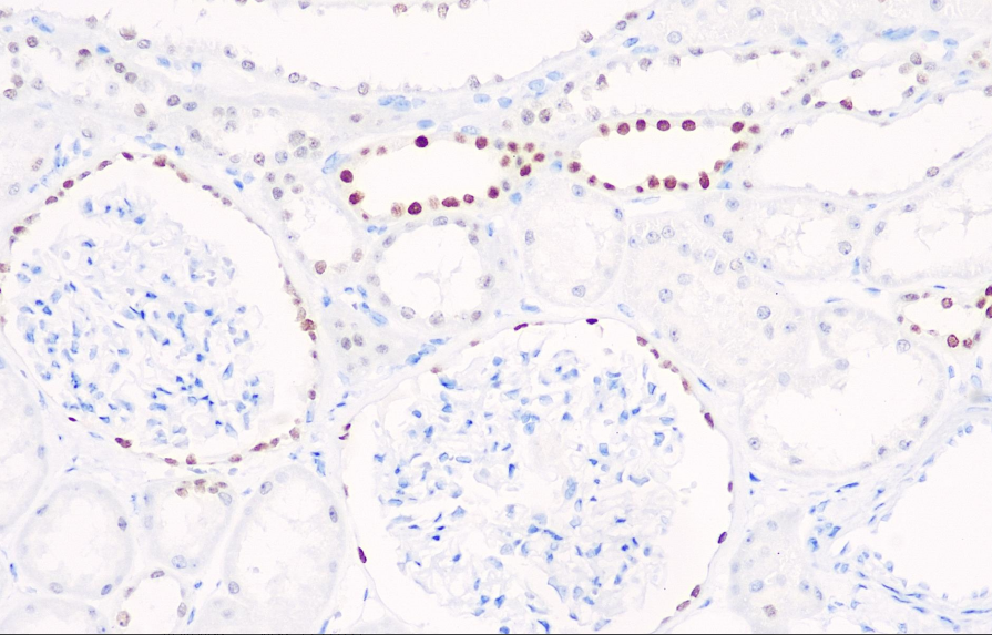
Clone number: EP235
isotype: rabbit monoclonal antibody
Cellular localization: nucleus
Tissue: paraffin/frozen
Positive control: kidney
Antibody incubation time: 30-60min
Antigen repair: Heat repair (EDTA)
PAX-2 is an allogeneic gene that is strongly expressed during renal development. After ureteral bud induction, the PAX-2 gene is expressed in the posterior renal stroma and is a key factor in the interstitial - epithelial transition. Animals lacking PAX-2 will present with severe renal malformations and cysts, but no solid tumors will occur. Mazal et al's research indicates that PAX2 is mainly expressed in clear cell renal cell carcinoma (88%), while its expression rate is low in papillary renal carcinoma and chromophobe renal cell carcinoma. Therefore, this antibody is helpful for the classification of renal tumors. PAX-2 can also be used in the research of liver metastatic clear cell renal cell carcinoma and primary clear cell renal cell carcinoma. Recent literature reports indicate that this antibody is used in the study of metastatic ovarian serous papillary carcinoma (Pax-2 positive) and primary breast cancer (Pax-2 negative).
The Pax-2 antibody reagent can specifically bind to the Pax-2 molecular antigen. The immunohistochemical kit containing the Pax-2 antibody reagent is suitable for the auxiliary diagnosis of liver metastatic clear cell renal cell carcinoma, primary liver clear cell carcinoma, metastatic ovarian serous papillary carcinoma and primary breast cancer.