456855286528

456855286528
Clone Number: JJ08-87
Isotype: rabbit monoclonal antibody IgG
Cellular localization: nucleus
tissue: paraffin/frozen
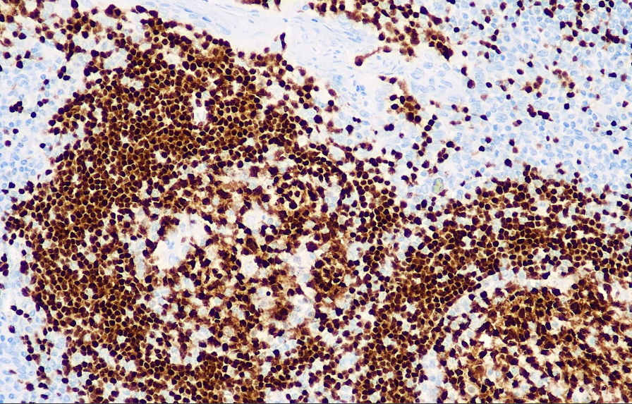
Positive control: tonsils
Antibody incubation time: 30-60min
Antigen repair: Heat repair (EDTA)
Pax-5 is a B-cell-specific activating protein that exists in the nuclei of B cells from early B cells to mature B cells and is not expressed in plasma cells. All B-cell-derived tumors (except plasmacytoma) were positively expressed; Negative expression of T cells and their sources in tumors; Weak expression of R-S cells in typical Hodgkin's lymphoma. This antibody is mainly used in the research of B cells and tumors of their origin.
The Pax-5 antibody reagent can specifically bind to the Pax-5 molecular antigen. The immunohistochemical kit containing the Pax-5 antibody reagent is suitable for the precise diagnosis of B-cell lymphoma (such as B-ALL and diffuse large B-cell lymphoma).