503969330583

503969330583
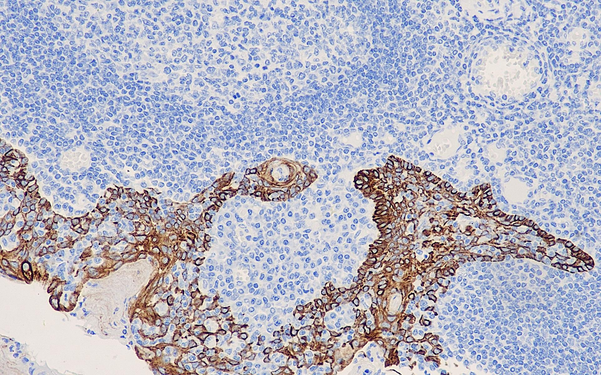
Clone number: AE1&AE3
Isotype: mouse monoclonal antibody IgG1/K
Cellular localization: cytoplasm
Tissue: paraffin/frozen
Positive control: tonsils
Antibody incubation time: 30-60min
Antigen repair: Heat repair (EDTA)
AE1/AE3 recognizes members of the acidic and basic subfamilies of cytokeratins, with the acidic members including keratins with molecular weights of 56.5, 55, 51, 50, 50′ 48, 46, 45, and 40 KDa, and the basic members including keratins with molecular weights of 65-67, 64, 59, 58, 56, and 52 KDa.AE1/AE3 is a broad-spectrum antibody to keratins that is of interest for metastatic tumors of epithelial origin.
AE1/AE3 Mixed Molecular Weight Keratin Antibody Reagent binds specifically to AE1/AE3 molecular antigens. Immunohistochemistry kits containing AE1/AE3 Mixed Molecular Weight Keratin Antibody Reagent are indicated for the precise diagnosis of metastatic tumors of epithelial origin.