134924328691562

134924328691562
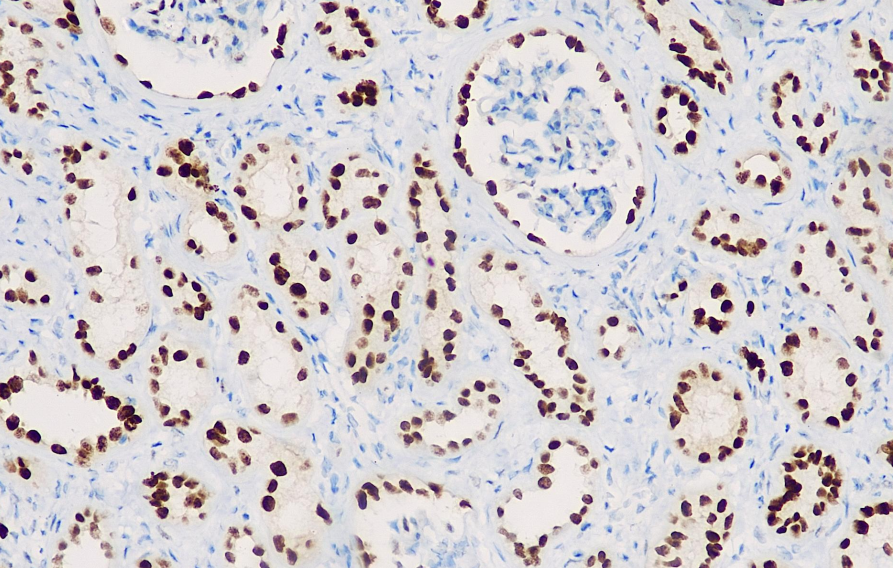
Clone number: EP298
isotype: rabbit monoclonal antibody
Cellular localization: nucleus
Tissue: paraffin/frozen
Positive control: kidney
Antibody incubation time: 30-60min
Antigen repair: Heat repair (EDTA)
Pax-8 is one of the members of the pairing box family of nuclear transcription regulators and is a nuclear protein. It is expressed in the follicular cells of the thyroid gland, the kidneys and the organogenesis of the Lerian duct. PAX8 is expressed in serous cell carcinoma, endometrioid cell carcinoma and clear cell carcinoma of the ovary, but is almost non-expressed in mucinous cell carcinoma of the ovary. PAX8 is expressed in 98% of clear cell renal cell carcinomas, 90% of papillary cell carcinomas and 95% of eosinophilic cell tumors. Its expression frequency in renal tumors is similar to that of PAX2. Therefore, PAX8 has once again become one of the reference bases for renal tumors.
The Pax-8 antibody reagent can specifically bind to the Pax-8 molecular antigen. The immunohistochemical kit containing the Pax-8 antibody reagent is suitable for the precise diagnosis of thyroid cancer, renal cell carcinoma and tumors derived from Mullerian ducts (such as ovarian serous carcinoma).