437855286506

437855286506
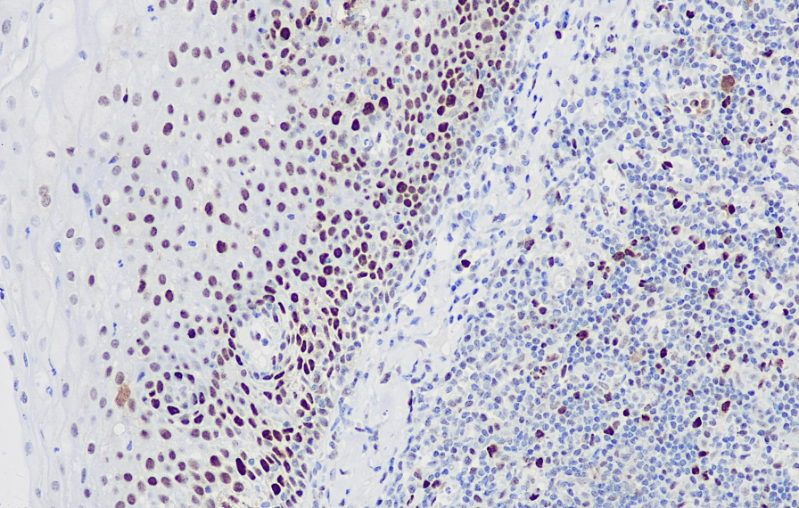
Clone number: OTI4G3
isotype: mouse monoclonal antibody
Cellular localization: nucleus
reactivity: paraffin/frozen
Positive control: tonsils
Antibody incubation time: 30-60min
Antigen repair: Heat repair (EDTA)
PCNA is a 36kD nucleoprotein related to the cell cycle and is an essential protein for DNA synthesis in cells. This antibody can be used as the main reference basis for cell proliferation index, for studying the cell proliferation of malignant tumors and judging their malignancy degree, which has certain significance for the treatment and prognosis research of tumors.
PCNA antibody reagents can specifically bind to PCNA molecular antigens. Immunohistochemical kits containing PCNA antibody reagents are suitable for evaluating the proliferation activity of tumor cells (such as lymphoma, glioma, and digestive tract cancer).