123523277481430

123523277481430
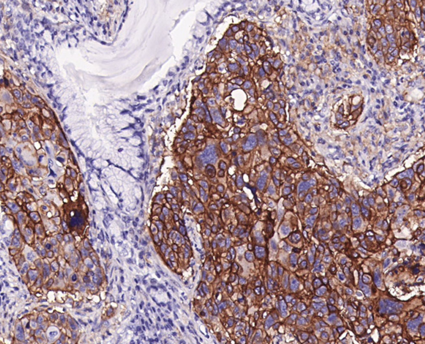
Clone number: SP142
isotype: rabbit monoclonal antibody
Cellular localization: cell membrane
Tissue: paraffin/frozen
Positive control: Placenta/Lung cancer
Antibody incubation time:
Antigen repair: heat repair (citric acid)
Programmed cell death ligand 1 (PD-L1), also known as CD274 or B7-H1, is a type I transmembrane protein involved in cellular regulation and immune responses.PD-L1 protein is widely expressed in antigen-presenting cells, activated T/B cells, macrophages, placental trophoblast cells, myocardial endothelial and thymic cortical epithelial cells.PD-L1 has been implicated in the immune escape mechanism of tumors, and PD-L1 protein expression was successively detected in human PD-L1 protein expression has been detected in breast, lung, gastric, intestinal, pancreatic and melanoma tumors. Studies have shown that PD-L1 expressed by tumor cells and antigen-presenting cells in the tumor microenvironment can inhibit the activation of tumor antigen-specific T cells via the PD-1/PD-L1 signaling pathway, and down-regulate the T cell-mediated immune response to tumors.
PD-L1 antibody reagents can specifically bind to PD-L1 molecular antigens. Immunohistochemical kits containing PD-L1 antibody reagents are suitable for evaluating the expression level of PD-L1 in tumors (such as non-small cell lung cancer and melanoma).