
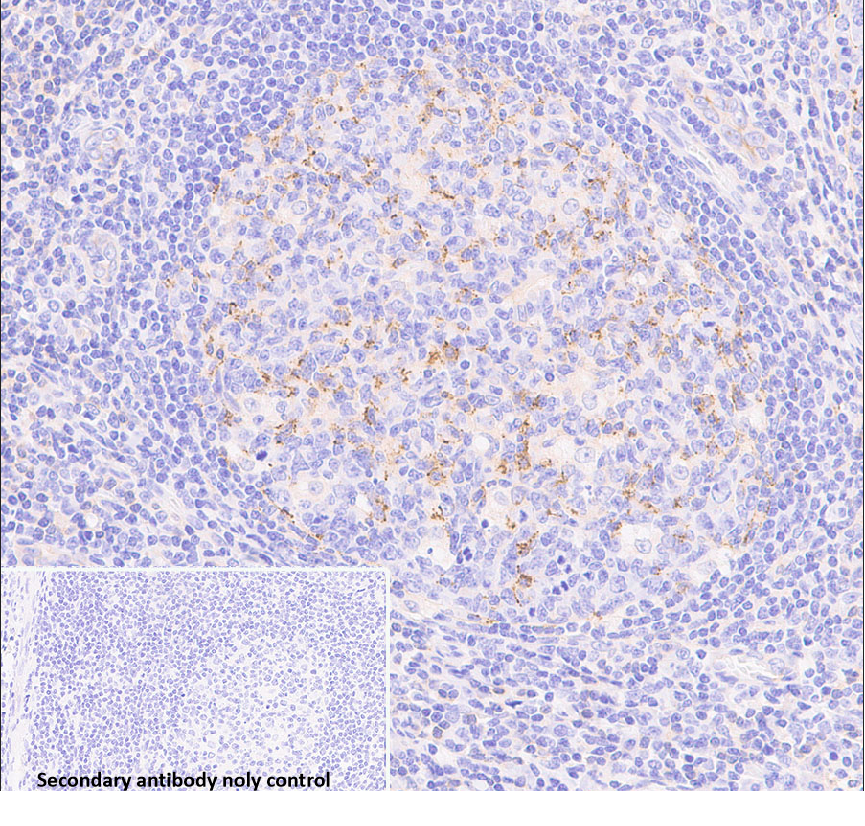
Clone number: UMAB223
isotype: mouse monoclonal antibody
Cellular localization: cytoplasm/membrane
Applicable tissues: paraffin section
Positive control: Activated T cells
Antibody incubation time:
Antigen repair:
PD-L2 is a programmed death molecule ligand, a co-stimulatory molecule of the B7 family, which inhibits the activation and proliferation of T cells and negatively regulates the immune response of the body, thus mediating the immune escape of tumors and promoting the growth of tumors.The expression of PD-L2 in tumor tissues is closely correlated with the grading, staging, and prognosis of tumors, and it may be a target for targeted therapies.
PD-L2 antibody reagents can specifically bind to PD-L2 molecular antigens. Immunohistochemistry kits containing PD-L2 antibody reagents are suitable for assessing PD-L2 expression levels in tumors (such as lymphoma and non-small cell lung cancer) and assisting in predicting potential resistance to PD-1/PD-L1 inhibitor therapy.