
Clone number: A13
isotype: mouse monoclonal antibody
Cellular localization: nucleus/plasmid/membrane
Tissue: paraffin section
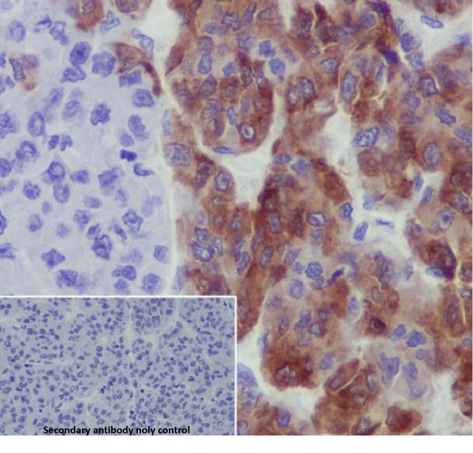
Positive control: Lung cancer tissue
Antibody incubation time:
Antigen Repair:
The imprinted gene paternally expressed gene 10 (PEG10) is located on human chromosome 7q21, and is expressed in the adult brain, ovary, fetal liver, placenta and other tissues, and is highly expressed in certain tumor tissues (e.g., primary hepatocellular carcinoma and acute and chronic lymphoblastic leukemia), but its role in tumorigenesis and development and its mechanism are not clear.
PEG10 antibody reagents can specifically bind to PEG10 molecular antigens. Immunohistochemistry kits containing PEG10 antibody reagents are suitable for the auxiliary diagnosis of certain malignant tumors (such as liver cancer and seminoma).