142524709791650

142524709791650
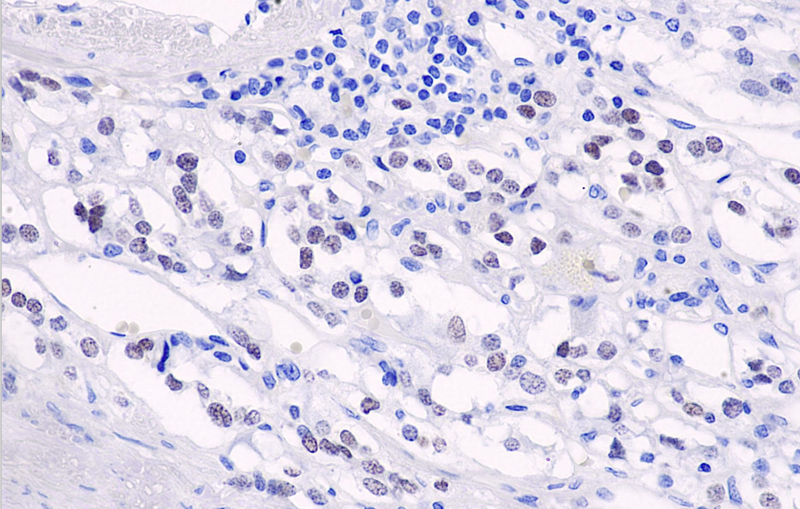
Clone number: EP312
Isotype: rabbit monoclonal antibody IgG
Cellular localization: nucleus
Tissue: paraffin/frozen
Positive control: chromophobe tumor
Antibody incubation time: 60min
Antigen repair: Heat repair (EDTA)
The PHOX2B (Paired-like homeobox 2B) gene is located on chromosome 4p13 and functions as a nuclear transcription factor, primarily promoting the differentiation of autonomic neurons during embryonic development. Peripheral PHOX2B is highly expressed in both differentiated and undifferentiated peripheral neuroblastoma (including neuroblastoma, paraganglioma, ganglioneuroblastoma, ganglioneuroma/astrocytoma) and pheochromocytoma. It is not expressed in other types of small round blue cell tumors (such as Wilms' tumor). It can serve as a diagnostic marker for neuroblastoma. Research has also shown that mutations in this gene are associated with congenital megacolon.
PHOX2B antibody reagents can specifically bind to PHOX2B molecular antigens. Immunohistochemistry kits containing PHOX2B antibody reagents are suitable for the precise diagnosis of neuroblastoma.