513998308594

513998308594
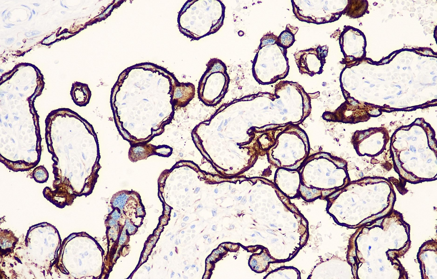
Clone number: EP194
Isotype: rabbit monoclonal antibody
Cellular localization: cell membrane
Tissue: paraffin/frozen
Positive control: Placenta
Antibody incubation time: 30-60min
Antigen repair: Heat repair (EDTA)
PLAP is present in normal placenta and is also expressed in ovarian germ cell tumors, testicular tumors, and extragonadal germ cell tumors, including seminoma, gonadoblastoma, yolk sac tumor, and choriocarcinoma. However, PLAP is not expressed in spermatogenic seminoma and immature teratoma. This antibody is primarily used in the study of testicular germ cell tumors and ovarian dysgerminoma.
PLAP antibody reagents can specifically bind to PLAP molecular antigens. Immunohistochemistry kits containing PLAP antibody reagents are suitable for the precise diagnosis of testicular germ cell tumors and ovarian dysgerminomas.