157728409571826

157728409571826
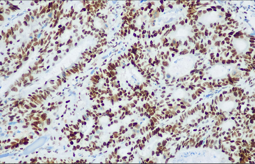
Clone number: EP51
Isotype: rabbit monoclonal antibody
Cellular localization: nucleus
Tissue: paraffin/frozen
Positive control: Colorectal cancer
Antibody incubation time: 60min
Antigen repair: Heat repair (EDTA)
DNA mismatch repair proteins are a group of nucleases that participate in the repair of mismatched bases during DNA replication in the cell proliferation phase. These proteins bind to abnormal DNA sites and remove them. If DNA mismatch repair enzymes are deficient, replication errors in DNA accumulate in proliferating cells and cannot be repaired, a phenomenon known as high-frequency microsatellite instability. This contrasts with low-frequency microsatellite instability and microsatellite stability. Among human DNA mismatch repair genes, those with high mutation rates and associations with tumors include MLH1 (49%), MSH2 (38%), MSH6 (9%), and PMS2 (2%). Defects in DNA mismatch repair proteins are associated with certain human tumors, such as hereditary non-polyposis colorectal cancer (HNPCC). Over 70% of individuals with MLH1 and MSH2 mutations develop colorectal cancer, and 50% develop endometrial cancer; however, their prognosis is better than that of patients with low-frequency microsatellite instability or microsatellite stability. Compared to molecular biology techniques, immunohistochemical analysis of MMR is simpler, cheaper, and can be performed in most laboratories. Therefore, immunohistochemical testing for MLH1, MSH2, MSH6, and PMS2 is recommended as a routine investigation for individuals with a family history of hereditary non-polyposis colorectal cancer.
PMS2 antibody reagents can specifically bind to PMS2 molecular antigens. Immunohistochemistry kits containing PMS2 antibody reagents are suitable for the precise diagnosis of Lynch syndrome (HNPCC) and microsatellite instability (MSI-H) tumors.