332655209385

332655209385
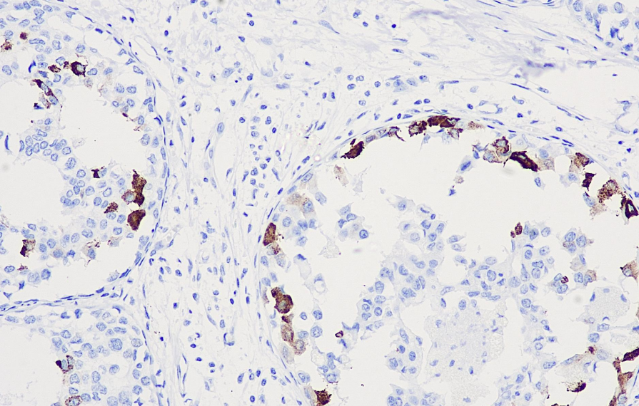
Clone Number: JM37-86
isotype: rabbit monoclonal antibody
Cellular localization: cytoplasm
Tissue: paraffin/frozen
Positive control: breast cancer
Antibody incubation time: 60min
Antigen repair: Heat repair (EDTA)
pS2 is an estrogen-regulated cytoplasmic polypeptide with a molecular weight of 6.5 kDa. pS2, also known as PNR-2, is expressed in normal gastric mucosa, small intestinal mucosa, and breast epithelium, and is primarily used in research on breast cancer and gastric cancer. pS2 positivity is commonly observed in breast cancers that are ER- and PR-positive. Recent studies have shown that the positive expression of pS2 in breast cancer is associated with ER positivity and can serve as a marker for studying the response of breast cancer patients to endocrine therapy.
The pS2 antibody reagent specifically binds to the pS2 molecular antigen. The immunohistochemistry kit containing the pS2 antibody reagent is suitable for the auxiliary diagnosis of breast cancer.