162304110187

162304110187
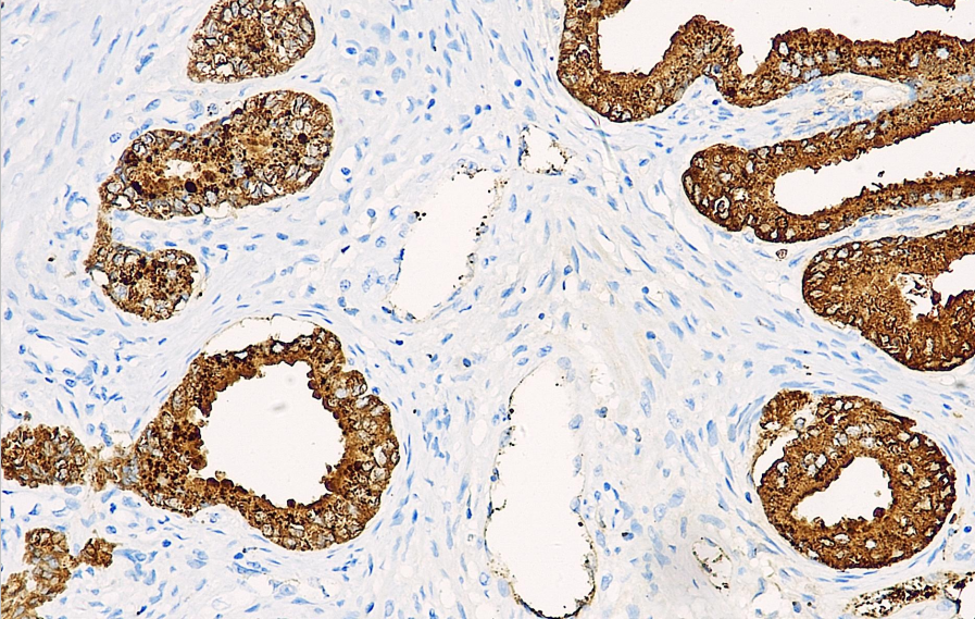
Clone number: PASE/4LJ
isotype: rabbit monoclonal antibody
Cellular localization: cytoplasm
tissue: paraffin/frozen
Positive control: prostate/prostate cancer
Antibody incubation time: 30-60min
Antigen repair: Thermal repair (EDTA)
PSAP (Prostatic Specific Acid Phosphatase) is an isoenzyme of acid phosphatase secreted by prostate epithelial cells and is expressed in normal prostate tissue, hyperplastic prostate tissue, and prostate cancer. This antibody is primarily used for research on prostate cancer and metastatic prostate cancer, but it cannot be used for research on benign or malignant prostate diseases.
PSAP antibody reagents can specifically bind to PSAP molecular antigens. Immunohistochemistry kits containing PSAP antibody reagents are suitable for the auxiliary diagnosis of prostate cancer and metastatic prostate cancer.