6931349418803

6931349418803
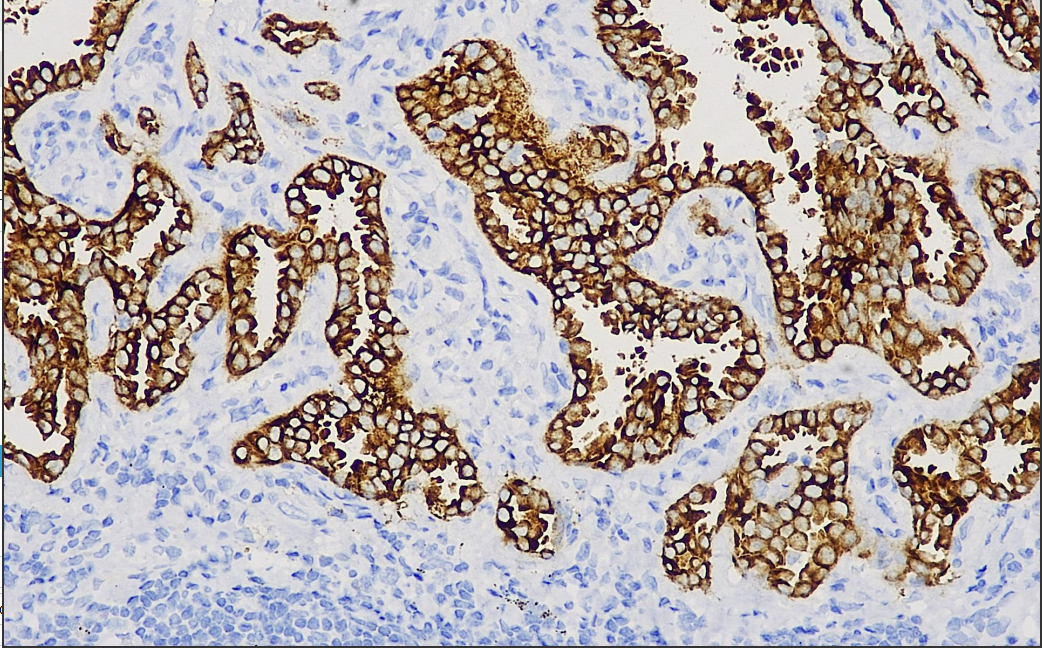
Clone number: OTI1H7
Isotype: rabbit monoclonal antibody
Cellular localization: cytoplasm/nucleus
Tissue: paraffin/frozen
Positive control: mesenchymal large cell lymphoma/lung adenocarcinoma
Antibody incubation time: 60min
Antigen repair: Heat repair (EDTA)
Mesenchymal large cell lymphoma is characterized by CD30+, often accompanied by a t(2:5)(p23:q35) translocation, which results in the expression of an 80 kD complex protein, named NPM-ALK, which is recognized by the antibody to this alkali-mutated lymphoma kinase, ALK. Recent studies have shown that ALK-positive ALCL has a better prognosis than ALK-negative patients.
Alk/P80 Antibody Reagent binds specifically to the Alk/P80 molecular antigen. Immunohistochemistry kits containing Alk/P80 Antibody Reagent are suitable for precise diagnosis of interstitial large cell tumors, and can also be used for the study of ALK gene rearrangement in lung adenocarcinoma.