247465154286

247465154286
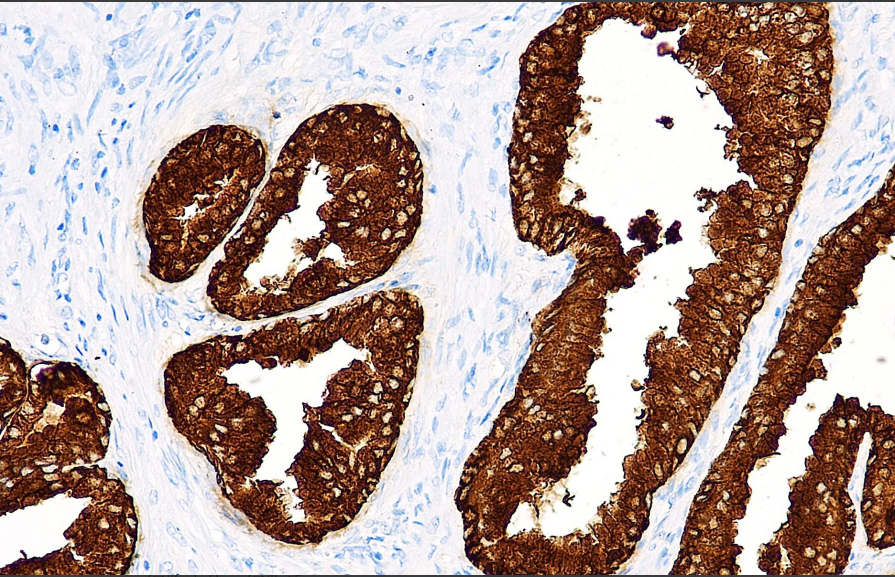
Clone number: OTI1F8
isotype: mouse monoclonal antibody
Cellular localization: cytoplasm
Tissue: paraffin/frozen
Positive control: prostate/prostate cancer
Antibody incubation time: 30-60min
Antigen repair: Thermal repair (EDTA)
PSA antibody reagents can specifically bind to PSA molecular antigens. Immunohistochemistry kits containing PSA antibody reagents are suitable for the auxiliary diagnosis of prostate cancer and metastatic prostate cancer.