456855286528

456855286528
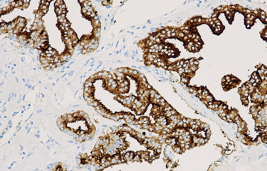
Clone number: 1D6
isotype: mouse monoclonal antibody
Cellular localization: cytoplasm
Tissue: paraffin/frozen
Positive control: prostate/prostate cancer
Antibody incubation time: 30-60min
Antigen repair: Thermal repair (EDTA)
PSMA is a 110 kDa type II transmembrane protein whose gene is located on the short arm of chromosome 11q. It is expressed in normal prostate epithelial cells and prostate tumor cells, with increased expression in tumor cells. Some studies suggest that PSMA is involved in regulating cell migration during the development of prostate cancer. PSMA is also expressed in certain other tissues, such as benign epithelial cells in the breast, duodenum, and kidneys. In prostate cancer, PSMA expression is positively correlated with tumor grade and the presence of hormone resistance. Strong PSMA expression is associated with a higher recurrence rate and shows no significant correlation with Ki-67. PSMA is currently considered one of the reference criteria for prostate cancer.
PSMA antibody reagents can specifically bind to PSMA molecular antigens. Immunohistochemistry kits containing PSMA antibody reagents are suitable for the diagnosis and targeted treatment screening of prostate cancer.