5991140385693

5991140385693
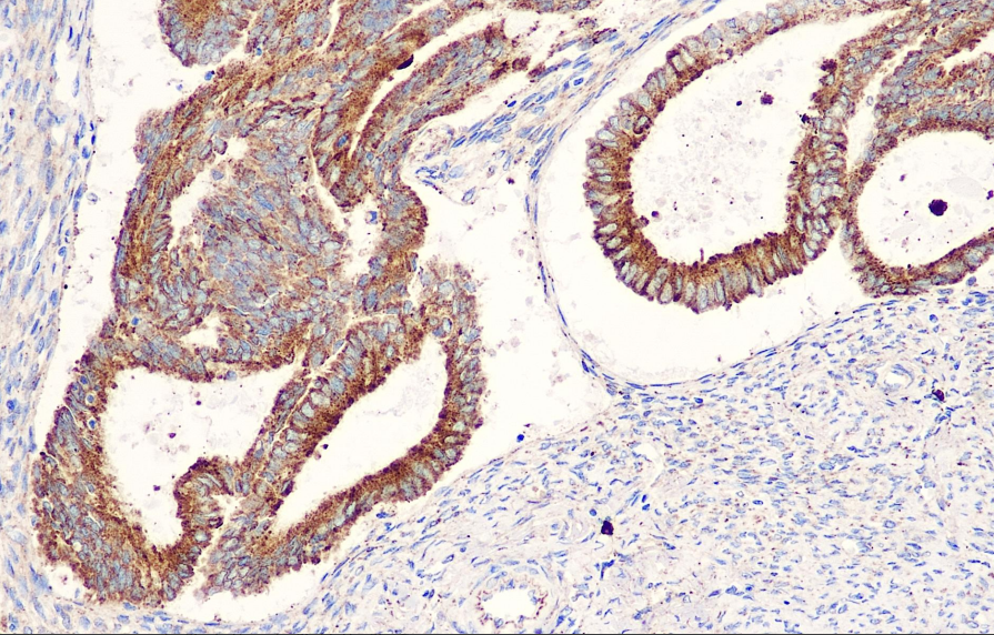
Clone number: D4.3
Isotype: mouse monoclonal antibody
Cellular localization: nucleus/plasmid
reactivity: paraffin/frozen
Positive control: Endometrial cancer
Antibody incubation time: 30-60min
Antigen repair: Heat repair (EDTA)
PTEN is located on human chromosome 10q23 and is a tumor suppressor gene. Research has found that mutations in this gene occur in various human tumors and hereditary tumor susceptibility syndromes. Its expression in tumors such as brain glioma and prostate cancer is associated with patient prognosis. Research on metastasis and prognosis has become a new hot topic.
PTEN antibody reagents can specifically bind to PTEN molecular antigens. Immunohistochemistry kits containing PTEN antibody reagents are suitable for the auxiliary diagnosis of tumors associated with PTEN gene deletions or mutations (such as endometrial cancer, glioma, and prostate cancer).