133025658801540

133025658801540
Clone number:
Isotype:
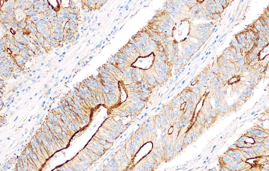
Cellular localization: cytoplasm/membrane
Adaptive tissue: paraffin/frozen
Positive control: Colorectal cancer
Antibody incubation time: 30-60min
Antigen repair: Heat repair (EDTA)
P-glycoprotein is a membrane-bound glycoprotein encoded by the MDR gene, with a molecular weight of 170–180 kDa. It belongs to the ABC (ATP-binding cassette) superfamily of membrane transport proteins and can rapidly pump cytotoxic drugs out of the cell using ATP as an energy source. Its expression level is associated with cell membrane permeability, intracellular drug concentration, and the degree of drug resistance. High expression of P-glycoprotein in tumor cells indicates that the tumor has developed resistance to certain lipophilic drugs, which has reference significance for chemotherapy.
P-Glycoprotein antibody reagents can specifically bind to P-Glycoprotein molecular antigens. Immunohistochemistry kits containing P-Glycoprotein antibody reagents are suitable for assessing multidrug resistance in tumors (such as leukemia, breast cancer, and ovarian cancer).