380722253440

380722253440
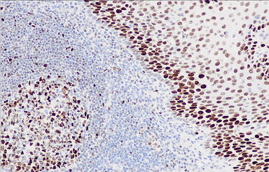
Clone number: 13A10
isotype: mouse monoclonal antibody
Cellular localization: nucleus
Tissue: paraffin/frozen
Positive control: tonsils
Antibody incubation time: 30-60min
Antigen repair: Heat repair (EDTA)
Rb is a tumor suppressor gene found in many types of cells that indirectly regulates cell growth. The absence or mutation of the Rb gene may be associated with the development of many malignant tumors. It is currently primarily used in research on malignant tumors such as esophageal cancer, gastric cancer, and bladder cancer.
Rb antibody reagents can specifically bind to Rb molecular antigens. Immunohistochemistry kits containing Rb antibody reagents are suitable for the auxiliary diagnosis of malignant tumors such as esophageal cancer, gastric cancer, and bladder cancer.