313598198363

313598198363
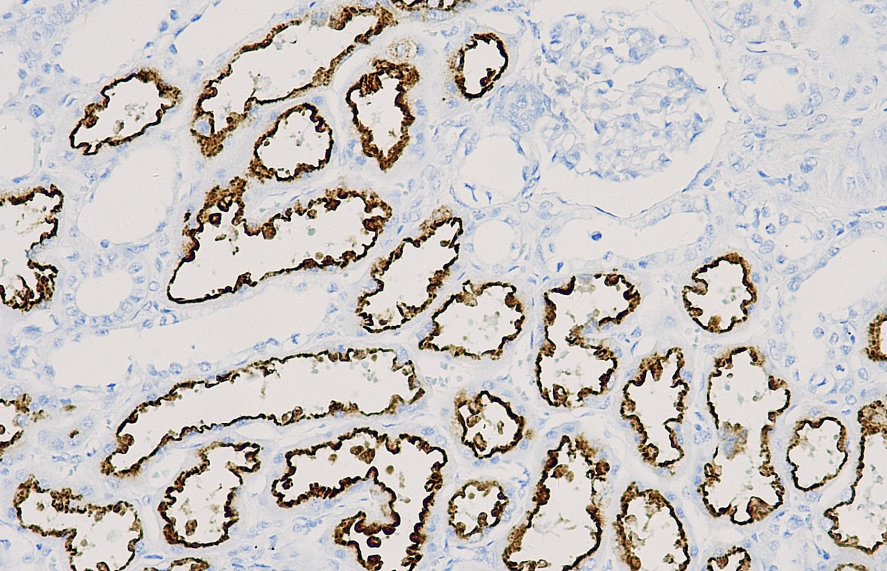
Clone number: 66.4.C.2
Isotype: mouse monoclonal antibody IgG2b
Cellular localization: cytoplasm
Tissue: paraffin/frozen
Positive control: kidney
Antibody incubation time: 60min
Antigen repair: enzymatic repair
RCC is positively expressed in more than 90% of primary renal cell carcinomas and approximately 80% of metastatic renal cell carcinomas. It can be used in combination with CD10 for the differential diagnosis of metastatic renal cell carcinoma. RCC is also expressed on the luminal surface of breast acinar and ductal epithelial cells, epididymal epithelial cells, and the main cells of the parathyroid gland, as well as in the colloid of thyroid follicles.
RCC antibody reagents can specifically bind to RCC molecular antigens. Immunohistochemistry kits containing RCC antibody reagents are suitable for the auxiliary diagnosis of renal cell carcinoma.