3515665019803870

3515665019803870
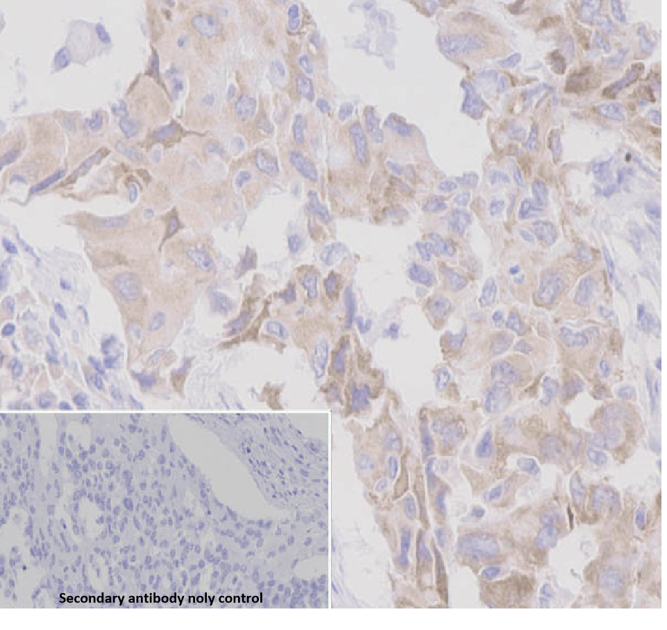
Clone number: OTI1A1
isotype: rabbit monoclonal antibody
Cellular localization: cell membrane
Applicable tissues: paraffin/frozen
Positive control: Lung cancer
Antibody incubation time:
Antigen repair: heat repair (EDTA)
The ROS1 gene is located on chromosome 6q21 and encodes 2,347 amino acids with a molecular weight of 259 kDa.It encodes the ROS1 protein, a transmembrane complex kinase, which is a member of the insulin receptor family.The ROS1 protein consists of six repeats of a fibronectin, a transmembrane region, and an intramembrane sister structural domain. It has been documented that ROS1 plays an important role in the differentiation of the epithelium of the epididymis.
ROS1 antibody reagents can specifically bind to the ROS1 molecular antigen. Immunohistochemistry kits containing ROS1 antibody reagents are suitable for the precise diagnosis of ROS1 fusion gene-positive non-small cell lung cancer.