380741286440

380741286440
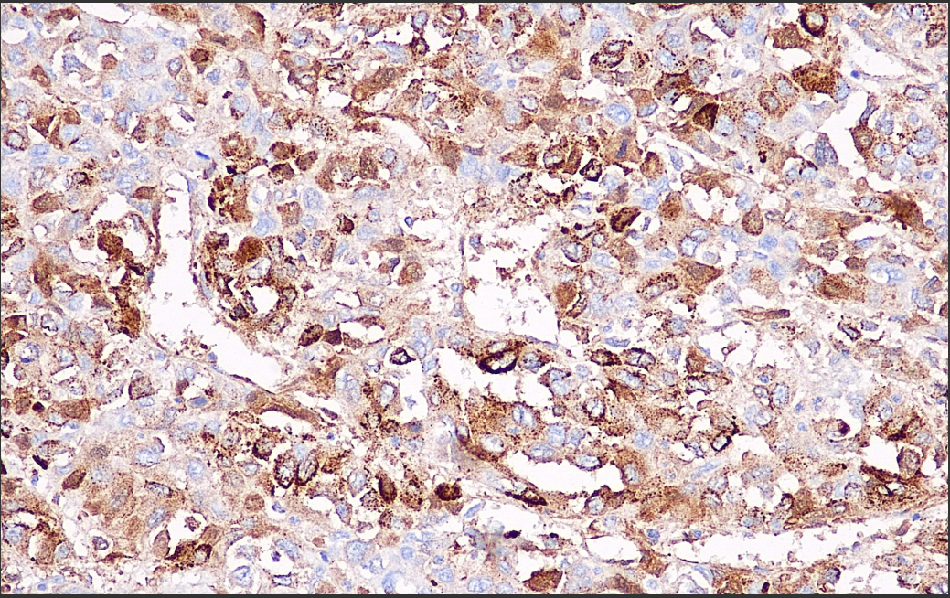
Clone number: polyclonal
isotype: rabbit polyclonal antibody
Cellular localization: cytoplasm
Tissue: paraffin/frozen
Positive control: Liver cancer
Antibody incubation time: 30-60min
Antigen repair: Thermal repair (citric acid)
AFP is a glycoprotein synthesized by embryonic yolk sac cells, embryonic hepatocytes and fetal intestinal cells. It is highly expressed in the liver of the fetus and is not expressed in the normal adult liver. However, hepatocellular carcinoma, endodermal sinusoidal tumors and certain germ cell tumors such as yolk sac tumors show positive expression of this antibody. Therefore, AFP is commonly used in the study of neoplastic and non-neoplastic liver diseases, yolk sac tumors and other germ cell tumors.
Alpha-1-Fetoprotein Antibody Reagent binds specifically to the Alpha-1-Fetoprotein molecular antigen. Immunohistochemistry kits containing Alpha-1-Fetoprotein Antibody Reagent are indicated for the precise diagnosis of neoplastic and non-neoplastic liver diseases, yolk sac tumors and other germ cell tumors.