131123758251518

131123758251518
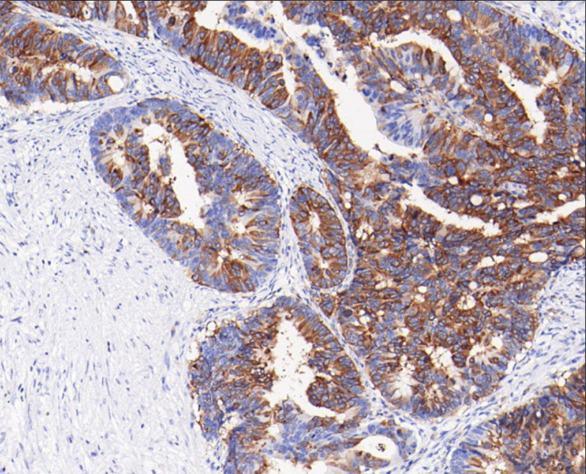
Clone number: OTI1F9
isotype: mouse monoclonal antibody
Cellular localization: cytoplasm/membrane
Tissue: paraffin section
Positive Control:
Antibody incubation time:
Antigen Repair:
The nucleoside diphosphate reductase large subunit (RRM1) is one of two distinct subunits that make up nucleoside diphosphate reductase. During the S phase of the cell cycle, prior to DNA synthesis, RRM1 catalyzes the production of deoxyribonucleotides. Numerous studies have shown that RRM1 controls cell proliferation through the production of deoxyribonucleotides and controls the metastatic tendency of cancer cells through PTEN induction. In NSCLC, RRM1 expression is highly correlated with ERCC and PTEN expression, and RRM1-positive tumors indicate slow progression.
The RRM1 antibody reagent specifically binds to the RRM1 molecular antigen. The immunohistochemistry kit containing the RRM1 antibody reagent is suitable for assessing tumor resistance to gemcitabine in cancers such as non-small cell lung cancer and ovarian cancer.