342665220396

342665220396
Clone number: UMAB24
isotype: mouse monoclonal antibody
Cellular localization: nucleus/plasmid
Tissue: paraffin/frozen
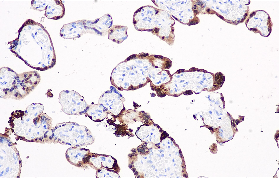
Positive control: Placenta
Antibody incubation time: 30-60min
Antigen repair: Heat repair (EDTA)
S100P belongs to the S-100 protein family, whose family proteins are expressed in most cells and may be involved in cell division and differentiation. S100P is highly expressed in the placenta. In pancreatic ductal carcinoma, nearly 100% of tumor cells express S100P positively, whereas benign ducts and glands do not express it. The S100P antibody is highly useful for distinguishing between ductal carcinoma and benign ductal lesions in pancreatic biopsy studies. S100P is expressed in cholangiocarcinoma but not in normal cholangiocarcinoma epithelium or reactive hyperplastic cholangiocarcinoma epithelium, aiding in the differentiation of benign from malignant tissue during cholangiocarcinoma biopsy.
The S100P antibody reagent specifically binds to the S100P molecular antigen. The immunohistochemistry kit containing the S100P antibody reagent is suitable for the auxiliary diagnosis of pancreatic cancer, cholangiocarcinoma, and certain adenocarcinomas.