371703231429

371703231429
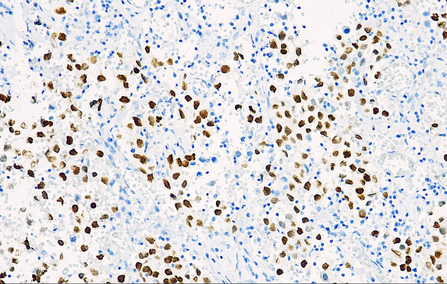
Clone number: 6E3
isotype: mouse monoclonal antibody
Cellular localization: nucleus/plasmid
Tissue: paraffin/frozen
Positive control: Spermatogonial tumor
Antibody incubation time: 30-60min
Antigen repair: Heat repair (EDTA)
SALL4 is a newly discovered zinc finger transcription factor that maintains the totipotency of embryonic stem cells by regulating Oct4. SALL4 is a novel, sensitive, and highly specific marker for metastatic germ cell tumors and can be used to study and detect metastatic yolk sac tumors. Its positive expression rate is 100% in seminoma, 100% in dysgerminoma, 100% in embryonal carcinoma, 100% in yolk sac tumor, 50% in teratoma, and 71% in choriocarcinoma.
SALL4 antibody reagents can specifically bind to the SALL4 molecular antigen. Immunohistochemistry kits containing SALL4 antibody reagents are suitable for the auxiliary diagnosis of germ cell tumors (such as seminoma and yolk sac tumor) and certain acute leukemias (such as AML).