456912275528

456912275528
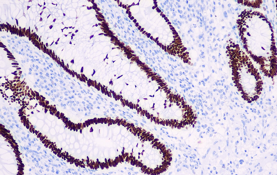
Clone number: OTI5H7
isotype: rabbit monoclonal antibody
Cellular localization: nucleus
tissue: paraffin/frozen
Positive control: appendix
Antibody incubation time: 30-60min
Antigen repair: Heat repair (EDTA)
DNA-binding protein SATB2, also known as specific AT sequence-binding protein 2, is a nuclear matrix-associated transcription factor. In normal tissues, SATB2 exhibits strong nuclear expression in glandular cells of the gastrointestinal tract, including the appendix, colon, and rectum. SATB2 is also expressed in certain neurons of the cerebral cortex and hippocampus. In tumor tissues, SATB2 can be detected in cancer cells derived from the colon and rectum, making it a useful marker for colorectal cancer. Numerous studies have shown that SATB2 exhibits high sensitivity (85%) for colorectal cancer. Recent research indicates that SATB2 is expressed in 89% of colorectal adenocarcinomas. Additionally, SATB2 has been proposed as a valuable prognostic marker.
SATB2 antibody reagents can specifically bind to SATB2 molecular antigens. Immunohistochemistry kits containing SATB2 antibody reagents are suitable for the precise diagnosis of colorectal cancer and bone-derived tumors.