6931349418737

6931349418737
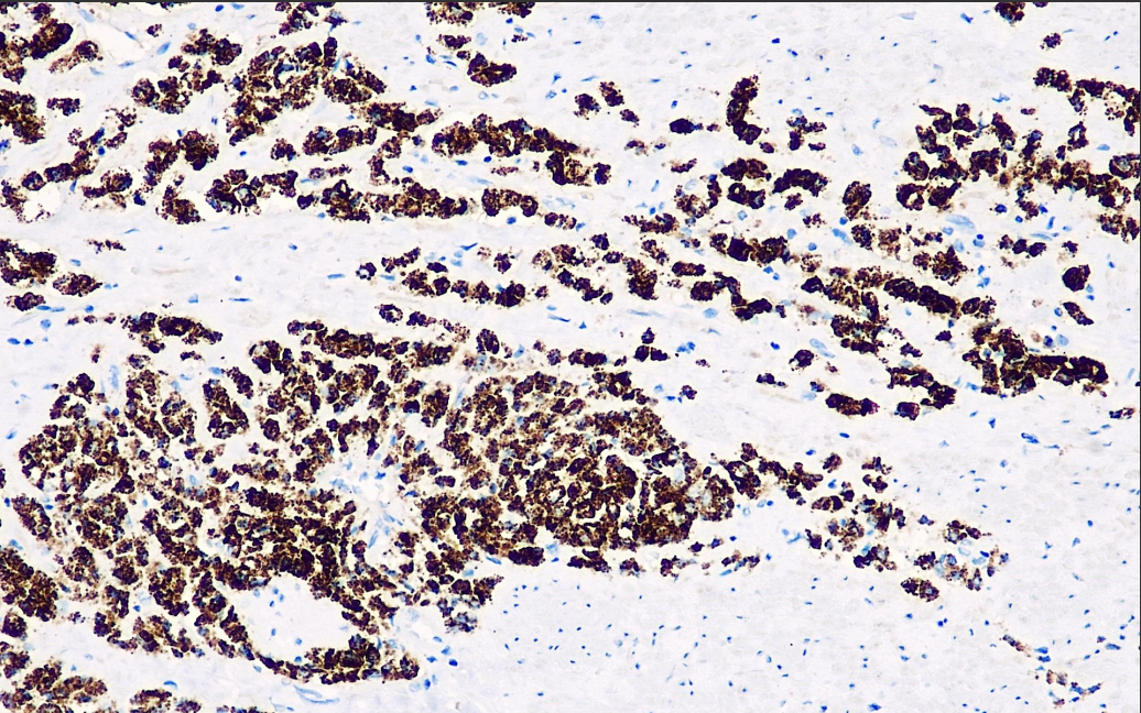
Clone number: UMAB215
Isotype: rabbit monoclonal antibody IgG
Cellular localization: cytoplasm
Tissue: paraffin/frozen
Positive control: Prostate cancer
Antibody incubation time: 30-60min
Antigen repair: Heat repair (EDTA)
AMACR is expressed in prostate adenocarcinoma, and also in precancerous lesions of the prostate, such as high-grade prostatic intraepithelial neoplasia and atypical adenomatous hyperplasia, and negatively in benign prostate tissue. In the diagnosis of prostate cancer, it is usually used in combination with PSA, CK (34bE12) and p63.
The p504S Antibody Reagent binds specifically to the p504S molecular antigen. Immunohistochemistry kits containing the p504S Antibody Reagent are suitable for the precise diagnosis of prostate adenocarcinoma.