143427268251661

143427268251661
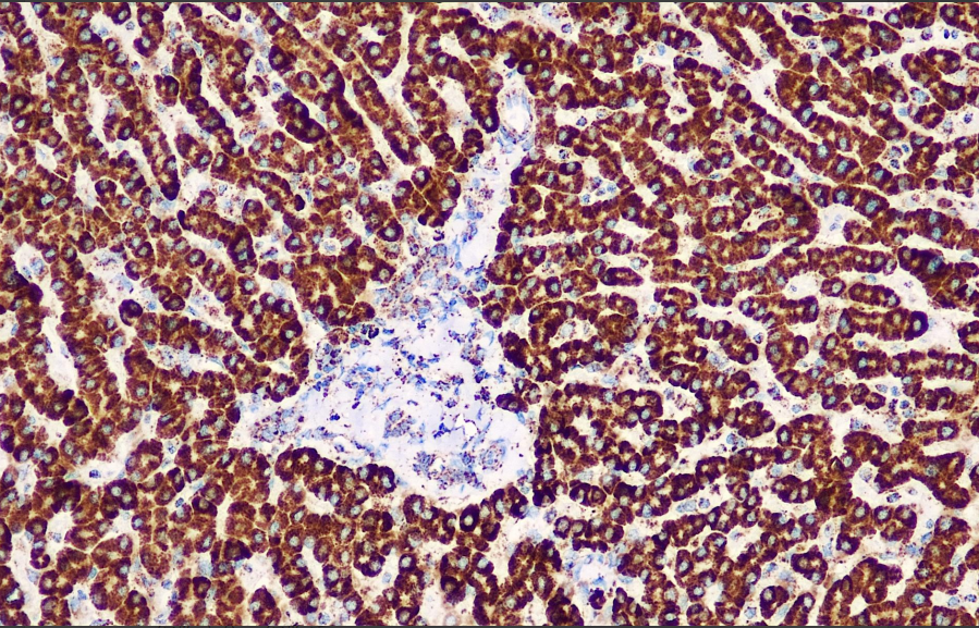
Clone number: OTI1H6
isotype: mouse monoclonal antibody
Cellular localization: cytoplasm
Tissue: paraffin/frozen
Positive control: Liver
Antibody incubation time: 30-60min
Antigen repair: Heat repair (EDTA)
SDHB aids in the identification of SDHB-deficient gastrointestinal stromal tumors, which are often clinically associated with Carney's triad or Carney-Stratakis syndrome. Additionally, SDHB gene mutations are associated with malignant, multicentric, adrenal intra-/extrasurrenal pheochromocytomas, and paragangliomas. This antibody is primarily used in GIST tumor research.
SDHB antibody reagents can specifically bind to SDHB molecular antigens. Immunohistochemistry kits containing SDHB antibody reagents are suitable for the precise diagnosis of succinate dehydrogenase (SDH) deficiency tumors (such as paraganglioma, pheochromocytoma, and gastrointestinal stromal tumor/GIST).