494950297572

494950297572
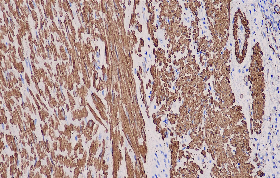
Clone number: UMAB237
isotype: mouse monoclonal antibody
Cellular localization: cytoplasm
tissue: paraffin/frozen
Positive control: appendix
Antibody incubation time: 30-60min
Antigen repair: Heat repair (EDTA)
SMA is an actin marker for smooth muscle that reacts with the smooth muscle actin α isoform but does not recognize actin derived from fibroblasts (β and γ), skeletal muscle (α sarcomere), or cardiac muscle (α cardiac). This antibody is primarily used for research on smooth muscle and tumors of smooth muscle origin. When used in combination with the Actin, Muscle Specific antibody, SMA can be employed to study rhabdomyosarcoma and leiomyosarcoma. In the study of breast tumors, observing the distribution and presence of myoepithelial cells is an important reference indicator for assessing their malignant potential.
SMA antibody reagents can specifically bind to SMA molecular antigens. Immunohistochemistry kits containing SMA antibody reagents are suitable for the precise diagnosis of smooth muscle tumors (such as leiomyomas and sarcomas) and myofibroblastic lesions.