238447198275

238447198275
Clone number:
Homozygous:
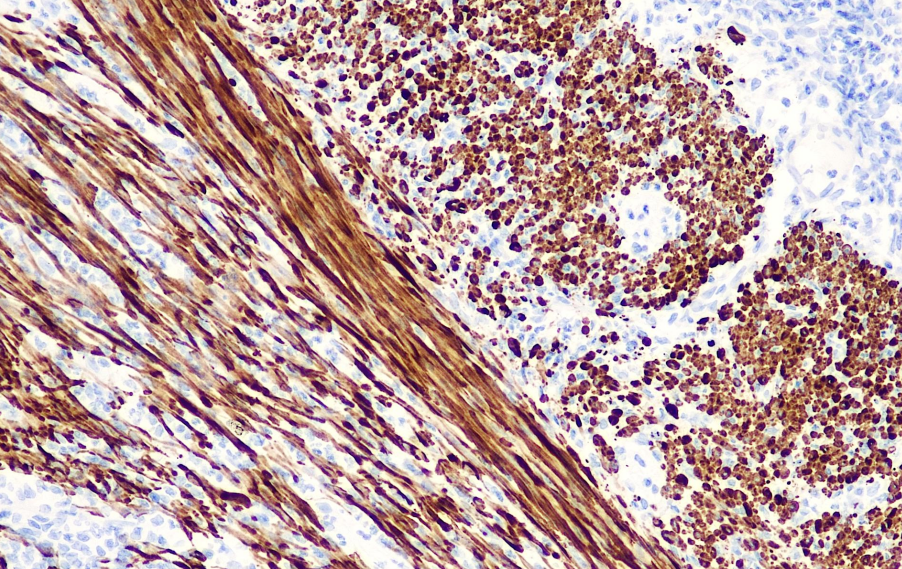
Cellular localization: cytoplasmic
Tissue: paraffin/frozen
Positive control: appendix
Antibody incubation time: 30-60min
Antigen repair: heat repair (EDTA)
Smooth muscle myosin heavy chain is a polypeptide with a molecular weight of 200 kDa and is a structural component of hexameric myosin. It is primarily used for studying vascular and visceral smooth muscle cells as well as myoepithelial cells. It is considered a relatively specific and reliable reference for smooth muscle, aiding in the research and classification of mesenchymal tumors. It can also be used for detecting breast myoepithelial cells, facilitating studies on distinguishing between in situ carcinoma and invasive carcinoma.
Smooth Muscle Myosin Antibody Reagent specifically binds to the Smooth Muscle Myosin molecular antigen. The immunohistochemistry kit containing Smooth Muscle Myosin Antibody Reagent is suitable for the auxiliary diagnosis of mesenchymal tumors, carcinoma in situ, and invasive carcinoma.