
Clone number:
Homozygous:
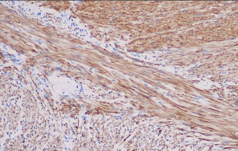
Cellular localization: cytoplasmic
Tissue: paraffin/frozen
Positive control: appendix
Antibody incubation time: 30-60min
Antigen repair: heat repair (EDTA)
Smoothelin is a component of the smooth muscle cytoskeleton protein and is only present in fully differentiated smooth muscle cells. Smooth muscle-like cells such as myoblasts, myoepithelial cells, skeletal muscle cells, and cardiac muscle cells do not contain Smoothelin. Due to this characteristic, the Smoothelin antibody is expressed in the muscularis propria of the bladder but not expressed or only weakly expressed in the mucosal smooth muscle, which is of significant importance for the staging of bladder cancer. The Smoothelin antibody plays a role in studies of tumors derived from smooth muscle cells. Immunohistochemical staining is positive in differentiated mature smooth muscle tumors, while poorly differentiated malignant smooth muscle tumors or smooth muscle-like tumors may be negative.
Smoothelin antibody reagents can specifically bind to Smoothelin molecular antigens. Immunohistochemistry kits containing Smoothelin antibody reagents are suitable for the auxiliary diagnosis of tumors derived from mature smooth muscle cells (such as vascular smooth muscle tumors and gastrointestinal smooth muscle tumors).