171323121198

171323121198
Clone number: EP130
Isotype: rabbit monoclonal antibody IgG
Cellular localization: cytoplasm
Tissue: paraffin/frozen
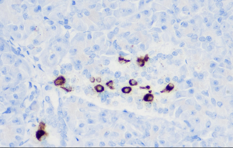
Positive control: Pancreas
Antibody incubation time: 60min
Antigen repair: Heat repair (EDTA)
Somatostatin is a polypeptide hormone that is widely expressed in human tissues, including gastrointestinal and bronchial endocrine cells, thymus endocrine cells, thyroid C cells, and pancreatic D cells. It is primarily used for the functional classification of pancreatic cells and the study of endocrine cells and tumors in the digestive tract mucosa.
Somatostatin antibody reagents can specifically bind to somatostatin molecular antigens. Immunohistochemistry kits containing somatostatin antibody reagents are suitable for the auxiliary diagnosis of endocrine cells and tumors in the digestive tract mucosa.