6841330418792

6841330418792
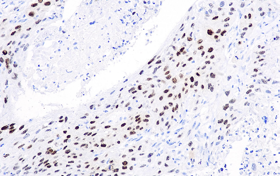
Clone number: EP103
Isotype: rabbit monoclonal antibody
Cellular localization: nucleus
Tissue: paraffin/frozen
Positive control: Esophageal squamous carcinoma/neuroglioma
Antibody incubation time: 30-60min
Antigen repair: Heat repair (EDTA)
SOX-2 is a novel oncogene that not only participates in the early stages of tumorigenesis but is also associated with tumor cell migration, invasion, and metastasis. The expression of SOX-2 is correlated with the prognosis of various tumors, including ovarian cancer, breast cancer, head and neck tumors, lung squamous cell carcinoma, and germ cell tumors. It has been reported that the combination of SOX-2 and P63 can specifically detect over 90% of lung squamous cell carcinomas. In cervical tissue, SOX-2 expression is closely associated with HPV infection and is related to the progression of cervical hyperplasia.
The SOX-2 antibody reagent specifically binds to the SOX-2 molecular antigen. The immunohistochemistry kit containing the SOX-2 antibody reagent is suitable for the auxiliary diagnosis of lung squamous cell carcinoma.