5991092374693

5991092374693
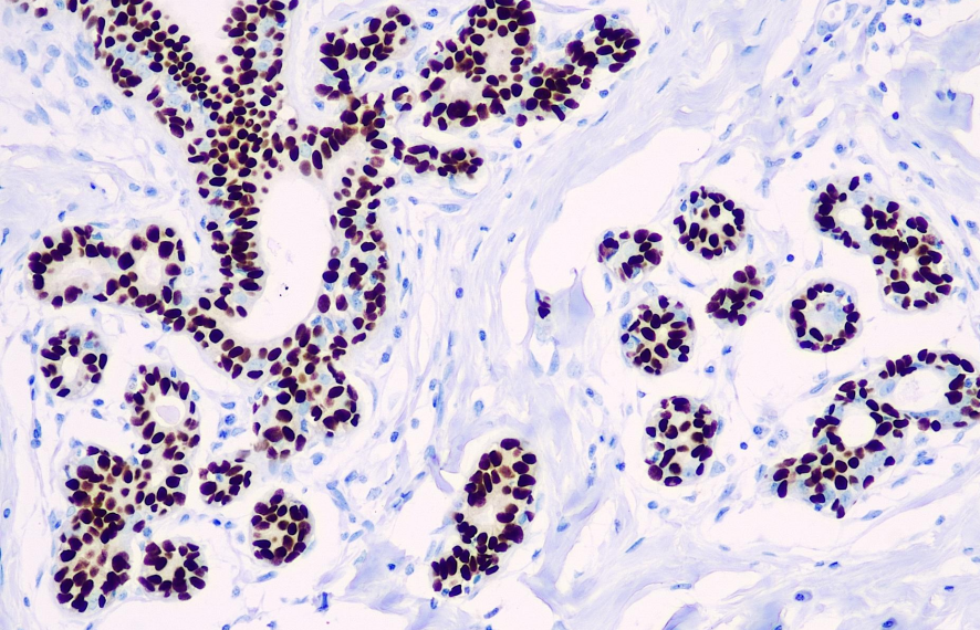
Clone number: EP268
isotype: rabbit monoclonal antibody
Cellular localization: nucleus
Applicable tissues: paraffin/frozen
Positive control: melanoma/mammary gland
Antibody incubation time: 30-60min
Antigen repair: Heat repair (EDTA)
SOX-10, a member of the Sry-related HMG-box gene family, plays a role in the development of the neural crest and the differentiation and specialization of melanocytes, and functions as a nuclear transcription factor. It is highly expressed in residual fibrous proliferative melanomas and malignant peripheral nerve sheath tumors, but is not expressed or is lowly expressed in spindle-forming fibroblasts in skin scars, and can be used to distinguish residual fibrous proliferative melanomas from skin scars. SOX-10 is widely expressed in schwannomas and fibromas, but in other mesenchymal and epithelial tumors, it is only detected in myoepitheliomas and diffuse astrocytomas. In normal tissues, such as Schwann cells, bronchial secretory glands, and mammary myoepithelial cells, SOX-10 is also expressed. Therefore, the SOX-10 antibody is also used to distinguish various tumors of neural crest origin, mesenchymal tumors, epithelial tumors, and normal tissues.
The SOX-10 antibody reagent specifically binds to the SOX-10 molecular antigen. The immunohistochemistry kit containing the SOX-10 antibody reagent is suitable for the auxiliary diagnosis of tumors of neural crest origin, mesenchymal tumors, epithelial tumors, and others.