128223277591485

128223277591485
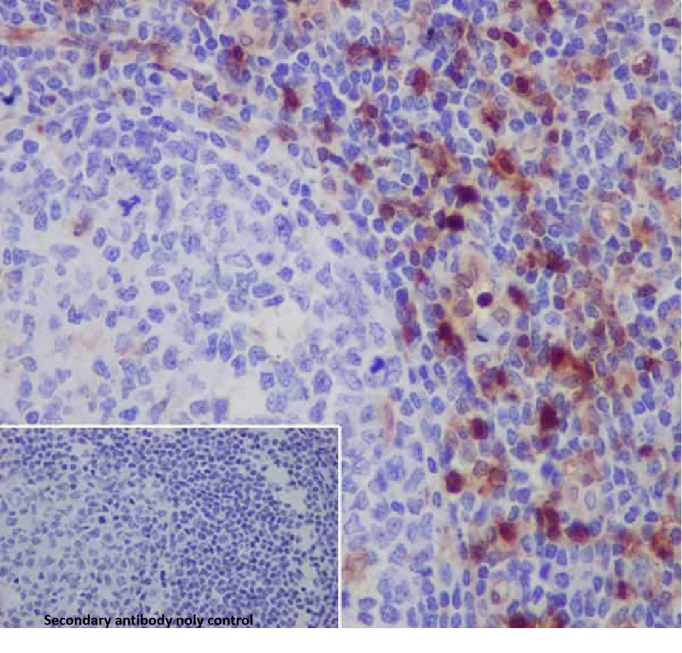
Clone number: MTC02
Isotype: mouse monoclonal antibody
Cellular localization: cytoplasm/membrane
Adaptive tissue: paraffin section
Positive Control: Liver
Antibody Incubation Time:
Antigen repair: Heat repair (EDTA)
Anti-Mitochondria Antibody (AMA) clone MTC02 recognizes only a 60 kda non-glycosylated protein component of human cell mitochondria. It reacts specifically with human cells, including neurons and embryonic stem cells. In mitochondrial encephalomyopathy a large accumulation of abnormal mitochondria in vascular smooth muscle, endothelial cells and neuronal cells at the site of the lesion and increased expression of AMA help in the diagnosis of mitochondrial encephalomyopathy. At the same time, this antibody can also be used to determine the mitochondrial content of tumor cells, which is useful for evaluating the prognosis of tumors.
Anti-Mitochondria Antibody (AMA) reagents bind specifically to AMA molecular antigens. Immunohistochemistry kits containing AMA Antibody reagents are suitable for the precise diagnosis of mitochondrial encephalomyopathy.