6371216462737

6371216462737
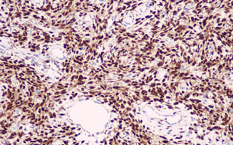
Clone number: EP325
Isotype: rabbit monoclonal antibody
Cellular localization: nucleus (isolated fibrous tumor)/cytoplasm (other tissues)
Applicable tissues: paraffin/frozen
Positive control: Isolated fibrous tumor
Antibody incubation time: 30-60min
Antigen repair: Thermal repair (EDTA)
Signal Transducer and Activator of Transcription 6 (STAT6) is a transcription factor responsible for mediating IL-4 immune signaling in the Jak/STAT signaling pathway. STAT6 has recently been identified as a reliable reference biomarker for distinguishing solitary fibrous tumors from other soft tissue tumors. Gene fusions are commonly observed in solitary fibrous tumors. Recent next-generation sequencing studies have demonstrated that the NAB2-STAT6 fusion is formed by the reverse fusion of two adjacent genes on chromosome 12q13 in 55–100% of isolated fibromatous tumors. However, due to the difficulty in detecting this fusion via FISH, further analysis is challenging. ISFT is classically characterized by CD34-positive spindle cells; however, approximately 5–10% of these tumors are CD34-negative, posing challenges for research. Cheah et al. used a rabbit monoclonal antibody against STAT6 for immunohistochemical (IHC) staining in 54 cases of SFT, and the results showed that all SFTs were positive, indicating that STAT6 exhibits high sensitivity and specificity in SFT expression.
STAT6 antibody reagents can specifically bind to STAT6 molecular antigens. Immunohistochemistry kits containing STAT6 antibody reagents are suitable for the precise diagnosis of solitary fibrous tumors (SFT).