
Clone number:
Isotype:
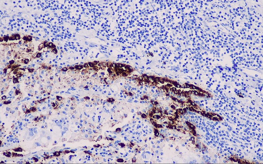
Cell localization: Cytoplasm
Suitable tissue: Paraffin/frozen
Positive control: Lung
Antibody incubation time: 60 min
Antigen retrieval: Heat retrieval (EDTA)
The SP-B precursor undergoes glycosylation in the Golgi apparatus and is hydrolyzed at the C- and N-termini by cathepsin D-like enzymes. Pulmonary surfactant is a complex composed of phospholipids and proteins secreted by type II alveolar cells. It reduces surface tension at the alveolar-liquid interface and provides the normal airflow necessary for alveolar stability. Four proteins, A, B, C, and D, have been isolated from the pulmonary surfactant protein complex. SP-A (28–36 kDa) and SP-D (43 kDa) are collagen-glycoprotein-binding proteins, while SP-B (8–9 kDa) and SP-C (4 kDa) are non-collagenous hydrophobic proteins. SP-B is stably expressed in the acini, papillary projections, and bronchioloalveolar regions of lung adenocarcinoma. It is not expressed in lung squamous cell carcinoma, large cell lung carcinoma, or non-adenocarcinoma lung cancers. Therefore, this antibody is meaningful in the study of lung adenocarcinoma.
SP-B antibody reagents can specifically bind to SP-B molecular antigens. Immunohistochemistry kits containing SP-B antibody reagents are suitable for the auxiliary diagnosis of lung adenocarcinoma.