352674220407

352674220407
Clone number:
Isotype:
Cell localization: Cytoplasm
Suitable tissue: Paraffin/frozen
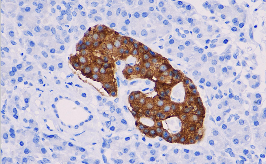
Positive control: Pancreas
Antibody incubation time: 30-60 min
Antigen retrieval: Heat retrieval (EDTA)
Synaptophysin is a glycoprotein with a molecular weight of 38 kDa, primarily located in the presynaptic vesicle membrane of neurons. It serves as one of the specific reference markers for neuroendocrine tumors. This antibody reacts with human synaptophysin and is primarily used for the study of neuroendocrine tumors.
Synaptophysin antibody reagents can specifically bind to Synaptophysin molecular antigens. Immunohistochemistry kits containing Synaptophysin antibody reagents are suitable for the auxiliary diagnosis of neuroendocrine tumors.