494959330572

494959330572
Clone number:
Isotype:
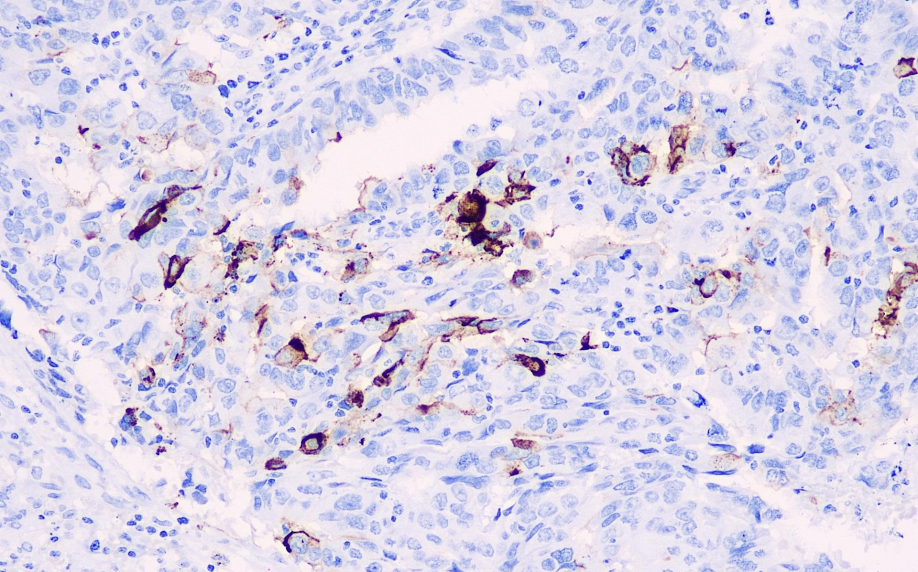
Cell localization: Cytoplasm
Suitable tissue: Paraffin/frozen
Positive control: Lung adenocarcinoma
Antibody incubation time: 30-60 min
Antigen retrieval: Heat retrieval (EDTA)
The B72.3 antibody can recognize a high molecular weight glycoprotein called TAG-72, which is mainly expressed in adenocarcinoma but not in mesothelioma. Studies have shown that it has 80% sensitivity and over 90% specificity in lung adenocarcinoma. Of course, when using this antibody to study mesothelioma and adenocarcinoma, be aware of false positive reactions and consider combining it with other antibodies.
TAG-72 antibody reagents can specifically bind to TAG-72 molecular antigens. Immunohistochemistry kits containing TAG-72 antibody reagents are suitable for the auxiliary diagnosis of mesothelioma and adenocarcinoma.