128223277591485

128223277591485
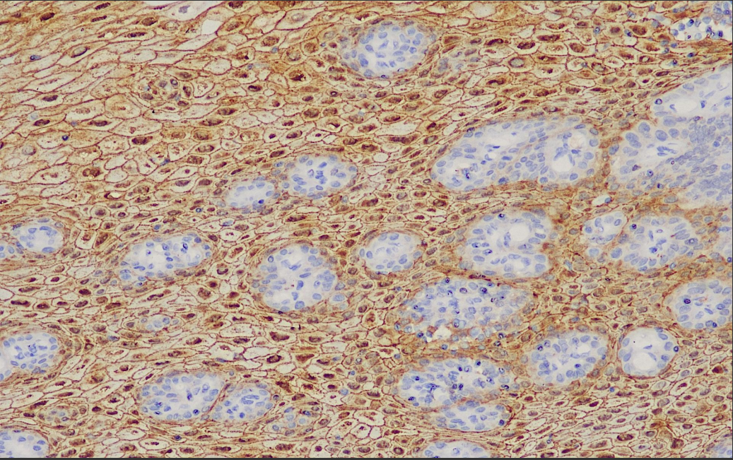
Clone number: MRQ-3
isotype: mouse monoclonal antibody
Cellular localization: nucleus/plasmid/membrane
Tissue: paraffin/frozen
Positive control: Esophageal squamous carcinoma
Antibody incubation time: 30-60min
Antigen repair: Thermal repair (Tris-EDTA)
The Annexin A1 gene is upregulated in hairy cell leukemia (HCL) and its protein expression is specific for HCL, making it a very useful marker for identifying HCL. Other B-cell lymphomas, including those containing chorioretiniform lesions, are negative. annexin A1 is also expressed in adenocarcinomas of the esophagus and esophagogastric junction. In addition, Annexin A1 has been found to be protective against thermally induced DNA damage in breast cancer cells, suggesting that it is involved in tumor suppression and protective activity and is associated with treatment resistance.
Annexin A1 Antibody Reagent binds specifically to the Annexin A1 molecular antigen. Immunohistochemistry kits containing Annexin A1 Antibody Reagent are indicated for the precise diagnosis of hairy cell leukemia, adenocarcinoma of the esophagus and gastroesophageal junction.