513969308594

513969308594
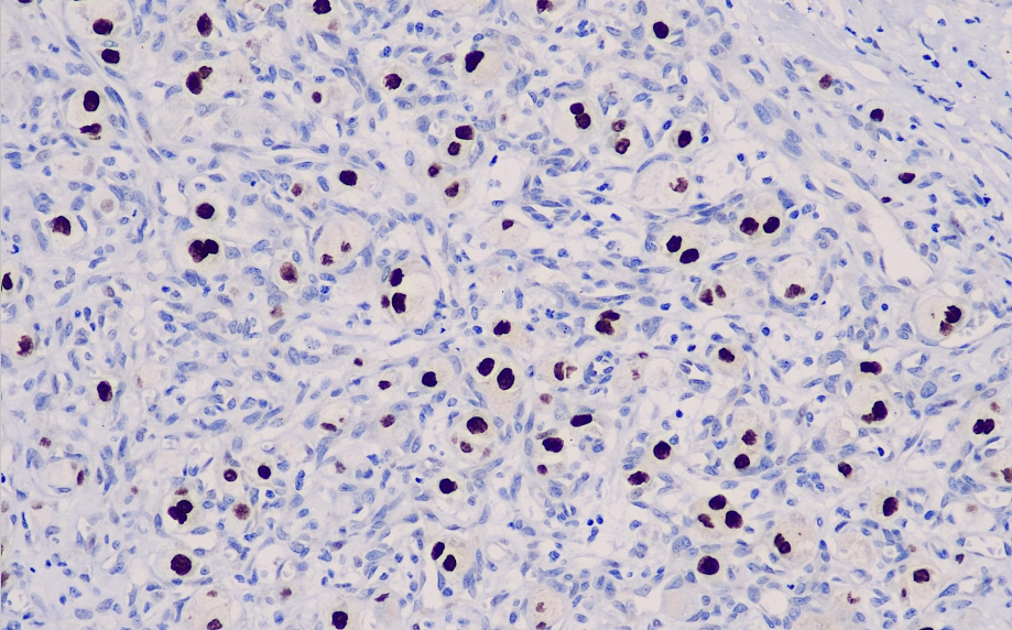
Clone number: MRQ-37
Isotype: rabbit monoclonal antibody
Cellular localization: nucleus
Applicable tissues: paraffin/frozen
Positive control: Adenoid soft tissue sarcoma/Xp11.2 ectopic renal cell carcinoma
Antibody incubation time: 30-60min
Antigen repair: Heat repair (EDTA)
Ectopic renal cell carcinoma is a recently classified subtype of renal cell carcinoma, resulting from chromosomal translocation that creates a breakpoint at Xp11.2, leading to the fusion of the TFE3 transcription factor gene at this locus. Xp11 translocation renal cell carcinoma primarily affects children, with a relatively low incidence in adults. Morphologically, it is characterized by clear cytoplasm and the presence of papillary and sand-like tumor structures. Compared to typical adult renal cell carcinoma, immunohistochemical testing reveals low expression of cytokeratin (CK) and epithelial membrane antigen (EMA). For Xp11 ectopic renal cell carcinoma, the antibody with both high sensitivity and specificity is TFE3. Alveolar soft part sarcoma (ASPS) is a rare, poorly differentiated soft tissue sarcoma that primarily affects young individuals and is commonly found in the extremities. Although the rate of malignant transformation is high, ASPS patients generally have a relatively longer survival period compared to other tumors. The hallmark of ASPS is a chromosomal rearrangement at 17q25 and a gene fusion between ASPSCR1 and TFE3 at Xp11.2. It is hypothesized that these alterations lead to abnormal transcription factor activity, thereby contributing to tumorigenesis. This abnormal chimeric transcription factor retains the DNA N-terminal binding domain of TFE3 and the gene regulatory domain of ASPSCR1. Due to the hyperactive transcription factor producing a large amount of protein, it leads to the development and malignant transformation of ASPS, and also provides evidence for TFE3 as a marker for studying ASPS.
TFE3 antibody reagents can specifically bind to TFE3 molecular antigens. Immunohistochemistry kits containing TFE3 antibody reagents are suitable for the accurate diagnosis of alveolar soft part sarcoma (ASPS).