219399143253

219399143253
Clone number: polyclonal
Isotype: rabbit polyclonal antibody
Cellular localization: cytoplasm
Suitable tissue: paraffin/frozen
Positive control: pituitary gland
Antibody incubation time: 30-60 min
Antigen retrieval: heat retrieval (citric acid)
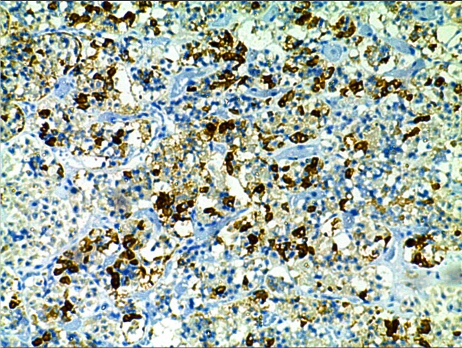
TSH is a glycoprotein secreted by basophilic cells in the anterior pituitary gland that directly acts on the thyroid gland and affects its structure and function. This antibody is mainly used in research on the functional classification of pituitary tumors.
TSH antibody reagents can specifically bind to TSH molecular antigens. Immunohistochemistry kits containing TSH antibody reagents are suitable for the classification of pituitary tumors.