171323121198

171323121198
Clone number:
Isotype:
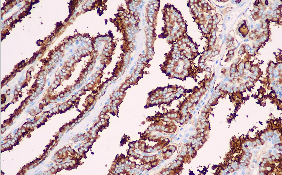
Cell localization: Cytoplasm
Suitable tissue: Paraffin/frozen
Positive control: Papillary thyroid carcinoma
Antibody incubation time: 30-60 min
Antigen retrieval: Heat retrieval (EDTA)
Thyroglobulin is a 330 kDa glycoprotein synthesized by thyroid follicles. This antibody exhibits high tissue specificity and is primarily used in the study of various types of primary and metastatic thyroid follicular epithelial carcinomas.
THY antibody reagents can specifically bind to THY molecular antigens. Immunohistochemistry kits containing THY antibody reagents are suitable for the auxiliary diagnosis of primary and metastatic thyroid follicular epithelial carcinoma.