7131320495825

7131320495825
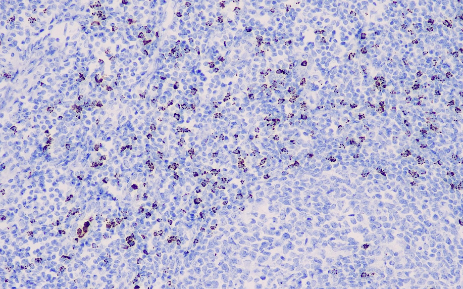
Clone Number: 2G9A10F5
isotype: mouse monoclonal antibody
Cellular localization: cytoplasm
Tissue: paraffin/frozen
Positive control: tonsils
Antibody incubation time: 30-60min
Antigen repair: Heat repair (EDTA)
TIA-1 (T-cell cytoplasmic antigen) monoclonal antibody can bind to a 15 kDa cytoplasmic granular protein. Cytoplasmic granules containing cytotoxic proteins, such as T-cell cytoplasmic antigen (TIA-1), Granzyme B, and perforin, are present in the cytoplasm of natural killer (NK) cells and cytotoxic T cells. Over 90% of nasal-type NK/T-cell lymphomas are positive for TIA-1 and Granzyme B, with 60% being positive for perforin; in hepatosplenic T-cell lymphoma (HSTCL), TIA-1 is often positive, while Granzyme B and perforin are negative; mucosal and cutaneous γδ T-cell lymphomas typically express TIA-1, Granzyme B, and perforin positively; TIA-1 is also often positive in T-cell anaplastic large cell lymphoma; cutaneous mycosis fungoides can also express the TIA-1 antigen. However, all B-cell lymphomas are negative for TIA-1 expression. This antibody is primarily used for research on T-cell lymphomas and NK cell tumors.
The TIA-1 antibody reagent specifically binds to the TIA-1 molecular antigen. The immunohistochemistry kit containing the TIA-1 antibody reagent is suitable for the auxiliary diagnosis of T-cell lymphoma and NK cell lymphoma.