485883319561

485883319561
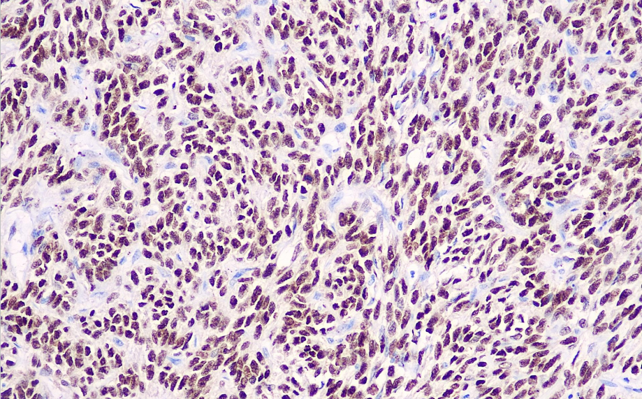
Clone number: UMAB253
isotype: rabbit monoclonal antibody
Cellular localization: nucleus
Tissue: paraffin/frozen
Positive control: synovial sarcoma
Antibody incubation time: 30-60min
Antigen repair: Heat repair (EDTA)
TLE1 is a member of the TLE multigene family and is involved in hematopoiesis, neuronal, and peripheral epithelial differentiation. It is expressed in synovial sarcoma but rarely in neurofibromas and pleomorphic sarcomas. Research data indicate that TLE1 expression in synovial sarcoma has higher sensitivity and specificity than Bcl2, and it is therefore recommended as a marker for synovial sarcoma.
The TLE1 antibody reagent specifically binds to the TLE1 molecular antigen. The immunohistochemistry kit containing the TLE1 antibody reagent is suitable for the precise diagnosis of synovial sarcoma.