116921097701353

116921097701353
Clone number: OTI2G1
isotype: mouse monoclonal antibody
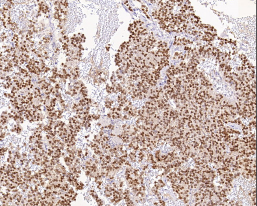
Cellular localization: nucleus/plasmid
Tissue: paraffin section
Positive control: Pituitary tissue
Antibody incubation time:
Antigen Repair:
T-PIT is a member of the T-box transcription factor family 19, which specifically regulates the expression of opioid-pituitary melanocyte-stimulating hormone (POMC) and plays an important role in the differentiation of adrenocorticotropic hormone cells. High expression of T-PIT in pituitary tumors indicates differentiation of the adrenocorticotropic hormone cell lineage.
T-PIT antibody reagents can specifically bind to T-PIT molecular antigens. Immunohistochemistry kits containing T-PIT antibody reagents are suitable for the precise diagnosis of pituitary adrenocorticotropic hormone (ACTH) cell adenomas.