352665209407

352665209407
Clone number: AC25
isotype: rabbit monoclonal antibody
Cellular localization: cytoplasm
Tissue: paraffin/frozen
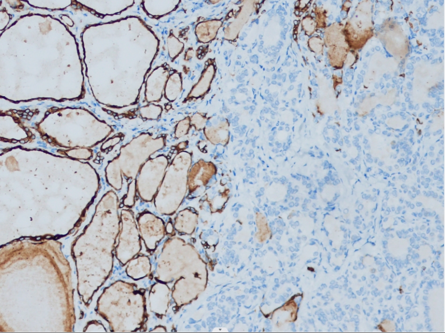
Positive control: Thyroid
Antibody incubation time: 30-60min
Antigen repair: Heat repair (EDTA)
Thyroid peroxidase (TPO) is located on the apical free surface of thyroid epithelial cells and directly participates in the oxidation of iodine, the iodination of tyrosine, and the coupling of iodinated tyrosine in thyroid cells. It is a key enzyme in the synthesis of thyroid hormones. It is highly expressed in normal, hyperplastic, and most benign thyroid tissues, but its expression is significantly reduced in malignant thyroid tumors. Therefore, this antibody can be applied to the study of benign and malignant thyroid tumors.
TPO antibody reagents can specifically bind to TPO molecular antigens. Immunohistochemistry kits containing TPO antibody reagents are suitable for the accurate diagnosis of benign and malignant thyroid tumors.