
Clone number: ZR382
Type: Rabbit monoclonal antibody IgG
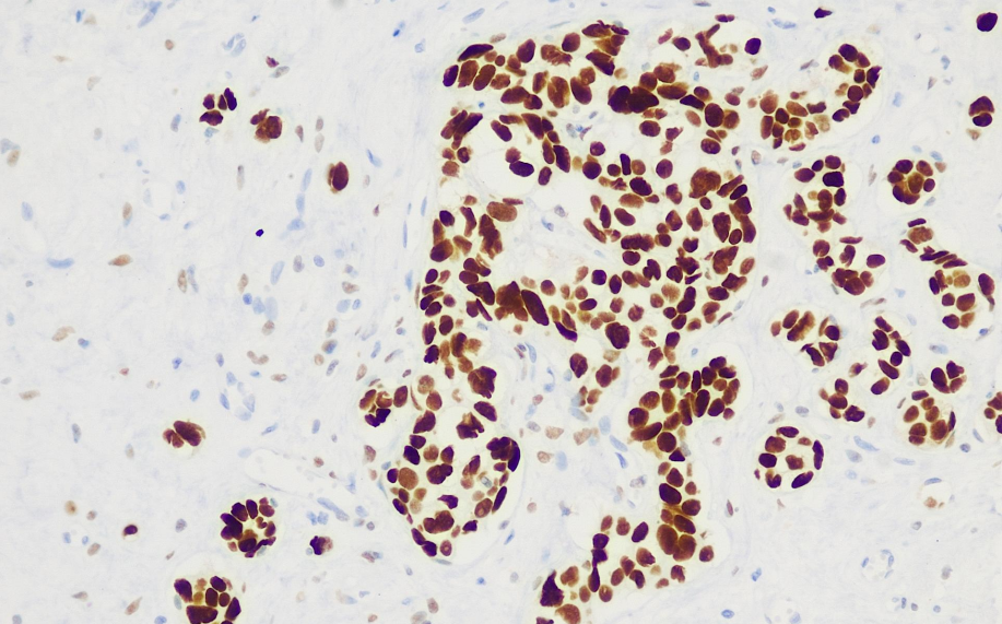
Cell localization: Cell nucleus
Suitable tissue: Paraffin/frozen
Positive control: Breast cancer
Antibody incubation time: 30-60 min
Antigen retrieval: Heat retrieval (EDTA)
TRPS1, named after an autosomal genetic disorder (Hair-Nose-Finger Syndrome 1), plays a key role in the transformation and differentiation of epithelial cells into cartilage, bone, kidney, and hair follicles. In recent years, TRPS1 has been identified as a new GATA transcription factor that plays a critical role in the growth and development of normal breast epithelial cells and may be associated with the development of breast cancer. Recent studies have found that, in an immunohistochemical analysis of 479 cases of various types of breast cancer, the TRPS1 positivity rate was as high as 92%, and TRPS1 was highly expressed in triple-negative breast cancer (TNBC). In metaplastic (86% vs. 21%) and non-metaplastic (86% vs. 51%) TNBC, the high expression of TRPS1 was significantly higher than that of GATA3. In non-breast tumors, TRPS1 is only expressed in some lung squamous cell carcinomas, transitional cell carcinomas (<2%), and ovarian cancers. Therefore, TRPS1 is a highly sensitive and specific marker for breast cancer, particularly for triple-negative breast cancer.
TRPS1 antibody reagents can specifically bind to TRPS1 molecular antigens. Immunohistochemistry kits containing TRPS1 antibody reagents are suitable for the precise diagnosis of breast cancer.